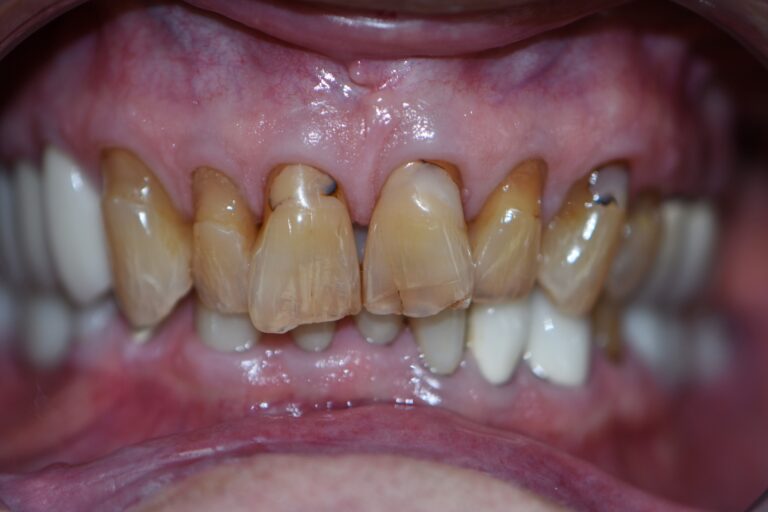
Upper Crowns

Case ID: 3483

Individual results may vary.
GET IN TOUCH

Schedule a Consultation

Message

USE CONTACT FROM

Visit

* All indicated fields must be completed.
Please include non-medical questions and correspondence only.

Accessibility Toolbar

Scroll to Top